Most dental practices offer two types of whitening:
• Laser / in-surgery Teeth Whitening
• Professional home whitening kits
Laser teeth whitening or in-surgery whitening is a procedure that takes place at the dental practice and uses a light-activated bleaching gel to whiten your teeth. The procedure usually takes approx 1 -2 hours and produces instant whitening results. Many dentists recommend that laser whitening should be followed up by professional home whitening.
Prior to carrying out the procedure you would have a consultation with your dentist to make sure that you are suitable for teeth whitening and to explain possible risks and side effects of the procedure. Most dental practices will ask you to sign a teeth whitening consent form to confirm that you have fully understood the procedure and all risks.

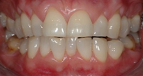
Before

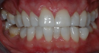
After
Before the teeth whitening process is started a dentist or a hygienist will thoroughly clean the teeth, removing any surface stains and tartar. This procedure is commonly referred to as a scale and polish.
The next step will be for the dentist to make a record of the shade/colour of the teeth before the procedure. This is either recorded using a tooth coloured shade guide/chart or by taking a digital photograph of your teeth.
The area is then prepared for the procedure. The bleaching compound usually contains a high concentration of peroxide (15-30%) and so the dentist will usually place some form of protection around the gums so that only the teeth are exposed to the compound. This involves covering the gums with rolls of cotton and a protective gel material that hardens once applied to the gums. A cheek retractor is used to keep the lips and cheeks away from the teeth.
To make a professional home whitening kit, your dentist will take a impression (mould) of your teeth using a special dental putty. Your dentist’s technician will then use this to cast a model of your teeth from plaster and make your custom teeth whitening trays from this.
Once these trays have been made (usually takes 5-10 days) you use them in combination with professional whitening gel (provided by your dentist) until you are happy with the results. Depending on the teeth whitening system, some trays need to be worn overnight while others for only 1-2 hours a day.
Many people are not suitable for teeth whitening and a dentist will assess your suitability during a consultation. If you have gum disease or other dental health problems, you may not be suitable. The teeth whitening process does not change the colour of crowns, veneers or fillings so it is important to understand that you may need to change these to match the colour of your whitened teeth
To reach us by telephone, please call 09810268778, or you can send us an email at info@precisiondentalcare.com
            
Dental implants are commonly referred to as artificial teeth, and thus people often use...
            
Are you unhappy with your smile? Are your teeth too long, too short, chipped, stained or...
            
Orthodontics is a speciality of dentistry that is primarily concerned with the treatment...