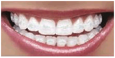
Orthodontic irregularities are generally treated with braces. Braces are usually made from wires and springs attached to tiny metal plates or a plastic mould. Braces apply gentle forces to teeth and encourage them to to move slowly to adopt a different alignment. The best orthodontic results are achieved with children when their teeth are still growing; many adults have orthodontic treatment, but the process takes much longer. Visit our main braces page to read more about how they work and how to look after them.
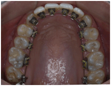
The orthodontist will assess the teeth that need to be aligned and create either a fixed or removable brace, which can be adjusted during the course of the treatment to achieve the desired effect. The fixed braces, as their name implies, are permanent fixtures and are removed at the end of the treatment period, whereas removable braces can be taken off for eating and cleaning but are generally worn at all other times. Braces will improve the function of the teeth and the general appearance of the person.
Misplaced/Maligned teeth or an “improper bite” can not only detract from people’s smiles; but may also lead to tooth decay, gum disease and eventual early tooth loss. For these, among other reasons everyone should have an orthodontic check-up at least once, the ideal age for which would be 7-15 years, though age is not a bar for treatment with braces. At Precision Dental Care we complete the treatment in minimum time period i.e. 8-12 months.













